വായസംബന്ധമായ അസുഖങ്ങൾ തടയാൻ കഴിക്കാം ഇത്
നമ്മള് ഒട്ടുമിക്ക ആഹാരസാധനങ്ങളിലും ചേര്ക്കുന്ന സാധനമാണ് ഇഞ്ചി. ഇഞ്ചിയിട്ട് തിളപ്പിച്ച് ചായ, ഇഞ്ചിക്കറി, ഇഞ്ചി മിഠായി എന്നിങ്ങനെ ഇഞ്ചി കറികളിലും ഒരു ഫ്ലേവറിനായി ഉപയോഗിക്കാറുണ്ട്. എന്നാല്, ഭക്ഷ്യവസ്തുക്കളിലും അല്ലെങ്കില് ഇഞ്ചി തിളപ്പിച്ചും മറ്റും ദിവസേന കഴിക്കുന്നതുകൊണ്ട് നമ്മളുടെ ശരീരത്തിന് നിരവധി ഗുണങ്ങള് ലഭിക്കുന്നുണ്ട്. അവ ഏതെല്ലാമെന്നു നോക്കാം.
tRootC1469263">ഇഞ്ചിയിൽ ആൻറി ഓക്സിഡൻറുകൾ അടങ്ങിയിട്ടുണ്ട് അതിനാൽ ദിവസേന ഇഞ്ചി തിളപ്പിച്ച് കുടിക്കുന്നത് രോഗപ്രതിരോധ ശേഷി വർദ്ധിപ്പിക്കുന്നതിനും ഇതുവഴി അസുഖങ്ങൾ വരാതിരിക്കുന്നതിനും സഹായിക്കുന്നു. കൂടാതെ സ്ട്രെസ്സ് കുറയ്ക്കുന്നതിനും ബ്ലഡ് പ്രഷർ കുറയ്ക്കുന്നതിനും നീര് പോലുള്ള അസുഖങ്ങൾ കുറയ്ക്കുന്നതിനും ഇഞ്ചി കഴിക്കുന്നത് നല്ലതാണ്. കൂടാതെ ഹൃദ്രോഗം,രക്തസമ്മർദം, ശ്വാസകോശ സംബന്ധമായ ആസുഖങ്ങൾ തുടങ്ങിയവയ്ക്കെല്ലാം ഇഞ്ചി നല്ലൊരു പരിഹാരമാണ്.
പലരോഗങ്ങളിൽ നിന്നും നമ്മെ സംരക്ഷിക്കാൻ കഴിയുന്ന ഒന്നാണ് ഇഞ്ചി. ഇഞ്ചിയിലടങ്ങിയിരിക്കുന്ന ചില സംയുക്തങ്ങൾ രോഗാണുക്കളെ അകറ്റി നിർത്താൻ സഹായിക്കുന്നു.
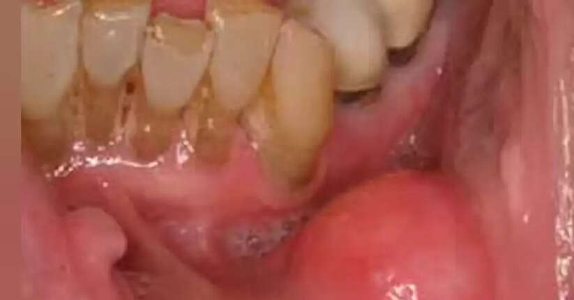
ഇഞ്ചിയിൽ അടങ്ങിയിരിക്കുന്ന ജിഞ്ചറോൾസ് എന്ന സംയുക്തം നമ്മുടെ വായയിലുണ്ടാവുന്ന ബാക്ടീരിയകളുടെ വളർച്ച തടയുകയും വായസംബന്ധമായ അസുഖങ്ങൾ തടയുന്നതിനും സഹായിക്കുന്നു. എല്ലാ ദിവസവും പുതുതായി അരിഞ്ഞ ഇഞ്ചി വായിലിട്ട് ചവയ്ക്കുക, അല്ലെങ്കിൽ ഒരു കപ്പ് ഇഞ്ചി ചായ കുടിക്കുക. ഇങ്ങനെ ചെയ്യുന്നത് വായിലുണ്ടാവുന്ന വരള്ച്ച ഇല്ലാതാക്കാനും ആരോഗ്യത്തോടെ ഇരിക്കാനും സഹായിക്കുന്നു.
ഛർദിയുള്ളപ്പോഴോ ഓക്കാനിക്കാൻ വരുമ്പോഴോ ഇഞ്ചിനീര് കഴിക്കുന്നത് നല്ലതാണ്. പ്രധാനമായും ഗർഭകാലത്തിന്റെ തുടക്കത്തിൽ ചില ഗർഭിണികൾക്ക് കടുത്ത ഓക്കാനമായിരിക്കും. ആ സമയങ്ങളിൽഇഞ്ചി കഴിക്കുന്നത് ഓക്കാനം ശമിപ്പിക്കാൻ സഹായിക്കുന്നു.
ദഹനപ്രശ്നത്തിന് സഹായിക്കുന്ന പ്രധാനപ്പെട്ട ഒരു വസ്തുവാണ് ഇഞ്ചി. ഇഞ്ചിനീരിൽ അടങ്ങിയിട്ടുള്ള വിവിധങ്ങളായ ധാതുക്കൾ ദഹന പ്രശ്നങ്ങൾക്കുള്ള പരിഹാരമാണ്. ഭക്ഷണത്തിന് മുമ്പ് ഇഞ്ചി കഴിക്കുന്നത് നിങ്ങളുടെ ദഹനം വേഗത്തിലാക്കാൻ സഹായിക്കുന്നു. കൂടാതെ മലബന്ധം തടയാനും ഇഞ്ചി സഹായിക്കുന്നു.
പേശീ വേദനകൾക്ക് നല്ലൊരു പരിഹാരമാണ് ഇഞ്ചി. ഇഞ്ചി കഴിച്ചാലുടനെ വേദന മാറുമെന്ന് കരുതേണ്ട. കാലക്രമേണ മാത്രമേ വേദനക്ക് ശമനം ലഭിക്കൂ. ഇഞ്ചി കഴിച്ചതിനു ശേഷം വ്യായാമം ചെയ്യുന്നവർക്ക് കഴിക്കാത്തവരെ അപേക്ഷിച്ച് പേശീവേദന കുറവാണെന്ന് പഠനംപറയുന്നു.
ഇഞ്ചി കഴിക്കുന്നത് കാൻസർ വരാനുള്ള സാധ്യത കുറക്കുന്നു എന്നാണ് പഠനങ്ങൾ പറയുന്നത്. ദിവസേന ഇഞ്ചി പച്ചയ്ക്ക് കഴിക്കുന്നത് നല്ലതാണ്. വൻകുടലിലെ കാൻസർ, അണ്ഡാശയത്തിലെ കാൻസർ, സ്തനാർബുദം, സ്കിൻ കാൻസർ തുടങ്ങിയ കാൻസറുകളുടെ വളർച്ച തടയാൻ ഇഞ്ചി നല്ലൊരു മരുന്നാണ്. എന്നാൽ ഇതിന്റെ കൂടുതല് ഗുണഫലങ്ങളെ കുറിച്ചുള്ള പഠനങ്ങൾ നടന്നുവരികയാണ്.
നമ്മുടെ ശരീരത്തിൽ നല്ലൊരു ഇൻസുലിനായി പ്രവർത്തിക്കാൻ ഇഞ്ചി സഹായിക്കുന്നു എന്നാണ് ഈയിടെ നടന്ന പഠനം പറയുന്നത്. നല്ല ഉയർന്ന ബ്ലഡ് ഷുഗർ ഉള്ള വ്യക്തി ദിവസേന ഇഞ്ചി കഴിച്ചാൽ അയാളുടെ ഷുഗർ ലെവൽ നോർമൽ ലെവലിൽ എത്തുന്നു. രാവിലെ തന്നെ വെറും വയറ്റിൽ ഇഞ്ചിയും നെല്ലിക്കയും ചേർത്ത് ജ്യൂസായോ അല്ലെങ്കിൽ ഇഞ്ചി നീര് തേനിൽ ചാലിച്ചോ കഴിക്കാവുന്നതാണ്.
ആർത്തവ സമയത്ത് സ്ത്രീകൾക്കനുഭവപ്പെടുന്ന കഠിനമായ വയറുവേദന കുറക്കാൻ ഇഞ്ചി നല്ലൊരു മരുന്നാണ്. അതിനായി ഇഞ്ചിപ്പൊടിയോ ഇഞ്ചി നീരോ വെള്ളത്തിൽ ചേർത്തോ തേനിൽ ചേർത്തോ ആർത്തവ ദിവസങ്ങളിൽ കഴിക്കുന്നത് നല്ലതാണ്. ഈ സമയത്ത് വേദന കുറയുന്നതുപോലെ തോന്നും.
സ്ഥിരമായി ഇഞ്ചി കഴിക്കുന്നവരിൽ കൊളസ്ട്രോളിന്റെ അളവ് കുറവായിരിക്കും. അടുത്തിടെ നടത്തിയ ഒരു പഠനത്തിൽ ദിവസേന അഞ്ച് ഗ്രാം വീതം ഇഞ്ചി കഴിച്ച രോഗികളിൽ മൂന്ന് മാസംകൊണ്ട് കൊളസ്ട്രോൾ ലെവൽ കുറഞ്ഞതായി കണ്ടെത്തി.
.jpg)


